烤瓷牙哪种效果好
烤瓷牙哪种效果好?烤瓷牙是目前修复体中很理想的一种,美观耐用的效果很受广大爱美人士的喜爱,可是烤瓷牙的种类很多,效果不一,那么,烤瓷牙哪种效果好?
烤瓷牙种类按照材质不同,可以分为普通金属、半贵金属、贵金属和全瓷牙等等。烤瓷牙种类具体介绍如下所示:
1、贵金属烤瓷牙:主要成分是黄金和白金等贵金属,由于拥有比同类产品更完善的颜色体系,与自然牙颜色接近,最具理想的生物相容必性,对人体无害等,往往修复后的牙齿,更接近患者自然牙的形状,可谓“牙齿装潢”的理想烤瓷牙修复材料。
2、半贵金属烤瓷牙:代表是钛合金烤瓷牙和钴铬合金烤瓷牙,由于价格介于非贵金属烤瓷牙和贵金属烤瓷牙之间,因此有半贵金属烤瓷牙的美誉。其生物相容性优于非贵金属,也比拟耐久,可以防止牙龈出血及黑色牙龈的景象呈现。是目前性价比很高的一类烤瓷牙修复体。
3、普通金属烤瓷牙:也就就是常说的镍铬合金烤瓷牙,这是最常见的一种烤瓷牙。内冠是由贱金属镍铬合金铸造而成,在复杂的口腔环境中,表露在口腔中的金属局部会渐渐分解,并释放黑色的氧化物,招致部分组织染色,这也就是该种修复领会招致牙龈黑线的最重要缘由,目前像很多正规医院都已经不建议患者使用。了解更多烤瓷牙,点击在线咨询,直接与专家相互交流!
4、全瓷牙:完全由瓷粉构成,颜色和层次得到最大水平显现,因此修复后的牙齿耐久性较好;此外相对金属烤瓷牙而言,由于没有金属基底,对强光线的反射和散射更接近于自然牙,具有更好的美观效果。是目前效果最为理想的一种烤瓷牙修复体,受到了很多高收入患者的青睐。
唯美口腔专家提醒,烤瓷牙种类虽多,可是患者需要根据个人的实际情况,选择适合自己的一种。
中韩国际·唯美口腔牙齿美容技术推荐
中韩国际·唯美口腔拥有的3D全瓷牙采用国际最高端的氧化锆材料,运用先进的CT三维数字扫描技术、电脑智能CAD/CAM系统设计,在短时间内根据患者的口腔条件、脸型、肤色,量身定做个性化全瓷牙修复美容方案。3D全瓷牙拥有完美的精密度;具有真牙相匹配的透光性,色泽逼真,可媲美自然牙;良好的生物相容性,对牙龈无刺激;强度绝佳,强度超出真牙,拥有卓越的咬合力量,无不良金属离子渗出,磨牙较少,更大程度地保留原有的牙齿组织,所以能达到最佳的美齿效果及与软组织的最舒适接触。推荐阅读:3D全瓷牙
中韩国际·唯美口腔牙齿美容专家推荐

莫三心教授,主任医师,硕士研究生导师。唯美口腔特邀专家,河南省口腔医学领域权威专家、郑州大学知名教授。精湛技术:牙齿种植、口腔修复、牙齿美容修复曾多次获得卫生部及省市各级表彰。主编多部并且参与编写多部国家医学教材,发表学术论文20余篇。擅于口腔修复,并涵盖口腔专业各个领域,可谓是大师级的口腔专家,在国内口腔界享有很高的声望。点击在线咨询,了解牙齿美容的优惠信息!在线预约可享更多优惠!
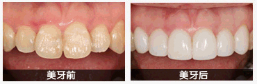
中韩国际·唯美口腔牙齿美容前后对比图

郑州牙科医院排名最好的医院温馨提示:以上是对烤瓷牙种类的介绍,希望对大家有所帮助,更多不明白的地方,可以点击在线咨询,我们专业的医生将为您提供详细的解答。

就诊指南
预约挂号
医院专家
在线咨询