烤瓷牙有副作用吗
烤瓷牙有副作用吗?烤瓷牙美观的外形吸引了很多爱美人士选择牙齿美容,希望也能实现自己的美牙梦想,可是也不免担心烤瓷牙是否有副作用。那么,烤瓷牙有副作用吗?
做烤瓷牙有可能出现以下几种状况:
1、烤瓷牙材料问题:非贵金属烤瓷牙是由镍铬合金制成的金属内冠外高温烤瓷而成,由于其价格相对较低,因此目前在我国应用较多。由于镍铬合金与瓷的热膨胀系数不匹配,所以临床上较容易出现崩瓷现象。
2、感染问题:不是每个人都适合做烤瓷牙的。如果口腔环境不好(例如牙周炎、牙龈出血、牙龈肿胀等),容易引起感染。另外牙齿和牙冠密合不好时也容易引起继发牙病。烤瓷牙需要磨除一定的牙体组织,个别需要破坏牙髓。了解更多烤瓷牙修复,点击在线咨询,直接与专家相互交流!
3、烤瓷牙有一定的寿命。根据患者的不同情况具体使用时间不定。
中韩国际·唯美口腔牙齿美容技术推荐
中韩国际·唯美口腔拥有的3D全瓷牙采用国际最高端的氧化锆材料,运用先进的CT三维数字扫描技术、电脑智能CAD/CAM系统设计,在短时间内根据患者的口腔条件、脸型、肤色,量身定做个性化全瓷牙修复美容方案。3D全瓷牙拥有完美的精密度;具有真牙相匹配的透光性,色泽逼真,可媲美自然牙;良好的生物相容性,对牙龈无刺激;强度绝佳,强度超出真牙,拥有卓越的咬合力量,无不良金属离子渗出,磨牙较少,更大程度地保留原有的牙齿组织,所以能达到最佳的美齿效果及与软组织的最舒适接触。推荐阅读:3D全瓷牙
中韩国际·唯美口腔牙齿美容专家推荐

莫三心教授,主任医师,硕士研究生导师。唯美口腔特邀专家,河南省口腔医学领域权威专家、郑州大学知名教授。精湛技术:牙齿种植、口腔修复、牙齿美容修复曾多次获得卫生部及省市各级表彰。主编多部并且参与编写多部国家医学教材,发表学术论文20余篇。擅于口腔修复,并涵盖口腔专业各个领域,可谓是大师级的口腔专家,在国内口腔界享有很高的声望。点击在线咨询,了解牙齿美容的优惠信息!在线预约可享更多优惠!
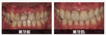
中韩国际·唯美口腔牙齿美容前后对比图

郑州牙科医院排名最佳的牙科提醒大家:以上便是烤瓷牙副作用的简单介绍,想了解更多烤瓷牙知识,请点击在线咨询,联系我们的在线口腔专家!

就诊指南
预约挂号
医院专家
在线咨询