烤瓷牙崩瓷对人体的危害有多大
烤瓷牙崩瓷对人体的危害有多大?口腔牙齿美容的盛行,做烤瓷牙的人也多了起来,同时也有一些烤瓷牙崩瓷的事情出现,对人体有很大的伤害,在牙齿美容界影响很大,那么,烤瓷牙崩瓷对人体的危害有多大?
烤瓷牙崩瓷对人体的危害有多大?烤瓷牙手术出现崩瓷现象后,很多想要做烤瓷牙的患者很想了解这个问题。
如果烤瓷牙崩瓷现象不怎么严重,崩瓷的面积比较小,这时候只需要到医院进行牙齿的部分磨除来恢复形态;牙体过多的损坏,会很容易划伤口腔黏膜和舌头,同时碎片在口腔的危害也是很大的;严重的需要进行烤瓷牙重做,一颗烤瓷牙价格不便宜,如果崩瓷损失是可想而知的。了解更多烤瓷牙,点击在线咨询,直接与专家相互交流!
烤瓷牙的崩瓷与医生的技术和烤瓷牙的材料加工都有很大的关系,绝大多数的烤瓷牙崩瓷情况都是由烤瓷牙的质量问题导致,因此为了确保烤瓷牙的质量,一定要到正规的口腔医院进行才好。同时做完烤瓷牙后要细心的护理烤瓷牙,防止崩瓷的现象发生。
中韩国际·唯美口腔牙齿美容技术推荐
中韩国际·唯美口腔拥有的3D全瓷牙采用国际最高端的氧化锆材料,运用先进的CT三维数字扫描技术、电脑智能CAD/CAM系统设计,在短时间内根据患者的口腔条件、脸型、肤色,量身定做个性化全瓷牙修复美容方案。3D全瓷牙拥有完美的精密度;具有真牙相匹配的透光性,色泽逼真,可媲美自然牙;良好的生物相容性,对牙龈无刺激;强度绝佳,强度超出真牙,拥有卓越的咬合力量,无不良金属离子渗出,磨牙较少,更大程度地保留原有的牙齿组织,所以能达到最佳的美齿效果及与软组织的最舒适接触。推荐阅读:3D全瓷牙
中韩国际·唯美口腔牙齿美容专家推荐

莫三心教授,主任医师,硕士研究生导师。唯美口腔特邀专家,河南省口腔医学领域权威专家、郑州大学知名教授。精湛技术:牙齿种植、口腔修复、牙齿美容修复曾多次获得卫生部及省市各级表彰。主编多部并且参与编写多部国家医学教材,发表学术论文20余篇。擅于口腔修复,并涵盖口腔专业各个领域,可谓是大师级的口腔专家,在国内口腔界享有很高的声望。点击在线咨询,了解牙齿美容的优惠信息!在线预约可享更多优惠!
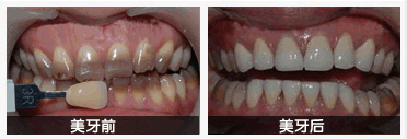
中韩国际·唯美口腔牙齿美容前后对比图

郑州牙科排名最好的医院温馨提示:中韩国际·唯美口腔现在开通网络预约就诊功能,患者可以通过网络预约来院进行咨询,预约后,凭预约短信享受优惠,无需排队挂号,减少您的就诊时间。更多相关信息,欢迎在线咨询专家

就诊指南
预约挂号
医院专家
在线咨询