烤瓷牙的适应症和禁忌症是什么
烤瓷牙的适应症和禁忌症是什么?在牙齿修复技术中,经常使用的方法就是烤瓷牙。但是对于一些还未曾接触过烤瓷牙的朋友来讲,他们对于烤瓷牙的适应症和禁忌症不是很了解。下面跟随郑州权威口腔科专家来了解一下烤瓷牙的适应症和禁忌症。
烤瓷牙适应症
(1)各种变色牙齿:目前在我国患有四环素牙、氟斑牙的大有人在,这些着色牙齿严重影响着一个人的形象。
另外,有些牙齿牙髓坏死后也会逐渐改变颜色。这些变色的牙齿都可以通过烤瓷牙恢复牙齿的形象。
(2)畸形牙及釉质发育不全牙齿:有些牙齿过小或者形体扭曲,也有些牙齿外表粗糙有时还呈现白垩色,这些牙齿也可以通过烤瓷牙恢复正常的形态和色泽。
(3)龋洞或牙体缺损较大者:有些牙齿龋坏后没有及时治疗,结果造成牙齿大面积缺损,这样使用一般的充填法进行治疗后,牙齿容易出现劈裂,充填材料也容易脱落。遇到这样的牙齿可以考虑制作烤瓷牙,这样既可以恢复了正常的形态,又可以利用烤瓷牙保护下方的正常牙体组织。
(4)前牙龋坏使用其他方法修复不够理想者:由于说笑时露出的是前牙,因此在所有牙齿中前牙的美观尤为重要。前牙尤其是中切牙也是容易龋坏的牙齿之一,当前牙龋坏后有些修复方法不够满意,要么硬度不够,要么形态恢复不够理想。遇到这种情形,可以选择烤瓷牙。
(5)错位,扭转牙齿:很多人有个别牙齿出现错位或者扭转,如果是后牙还好些,如果是前牙出现错位或者扭转也会影响一个人的形象。
烤瓷牙禁忌症
(1)对于年龄较小,恒牙还没有发育完全者不考虑制作烤瓷牙。遇到这样的患者可以暂时使用其他修复方法进行修复,待恒牙发育完全之后再换成烤瓷牙。
(2)牙齿过小,自身强度较差,不能承受一定咬合力的牙齿。这样的牙齿即便是勉强做了烤瓷牙,日后也容易出现脱落。
(3)严重深覆,咬合紧。这种情况难以预留出足够的间隙给烤瓷牙冠。推荐阅读:3D全瓷牙
烤瓷牙最好的技术推荐——3D全瓷牙
中韩国际·唯美口腔拥有的3D全瓷牙采用国际最高端的氧化锆材料,运用先进的CT三维数字扫描技术、电脑智能CAD/CAM系统设计,在短时间内根据患者的口腔条件、脸型、肤色,量身定做个性化全瓷牙修复美容方案。3D全瓷牙拥有完美的精密度;具有真牙相匹配的透光性,色泽逼真,可媲美自然牙;良好的生物相容性,对牙龈无刺激;强度绝佳,强度超出真牙,拥有卓越的咬合力量,无不良金属离子渗出,磨牙较少,更大程度地保留原有的牙齿组织,所以能达到最佳的美齿效果及与软组织的最舒适接触。点击在线咨询,了解牙齿美容的优惠信息!在线预约可享更多优惠!
中韩国际·唯美口腔牙齿美容专家推荐

莫三心教授,主任医师,硕士研究生导师。唯美口腔特邀专家,河南省口腔医学领域权威专家、郑州大学知名教授。精湛技术:牙齿种植、口腔修复、牙齿美容修复曾多次获得卫生部及省市各级表彰。主编多部并且参与编写多部国家医学教材,发表学术论文20余篇。擅于口腔修复,并涵盖口腔专业各个领域,可谓是大师级的口腔专家,在国内口腔界享有很高的声望。
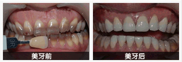
中韩国际·唯美口腔牙齿美容前后对比图

通过以上的介绍,相信您对这一问题已经有了更深的了解,中韩国际·唯美口腔专家指出牙齿修复一定要到正规医院进行,以免由于手术不当而给自身造成终身遗憾。如果您还有其他问题,可以在线咨询专家,专家会为您做出耐心的解答。

就诊指南
预约挂号
医院专家
在线咨询