缺牙选择做种植牙怎么样
缺牙选择做种植牙怎么样?很多老年人因为牙齿缺失,导致牙齿咀嚼功能减弱,消化不良,引起肠胃不适,为了减轻身体的痛苦,想找个办法进行修复,那么,缺牙选择做种植牙怎么样?
牙齿缺失患者在选择种植牙进行牙齿修复时,首先要检查身体状况,并非所有的人都适合种植牙齿。如牙周病,需先做好治疗才可以种牙。
种植牙与镶牙相比,更具技术含量,而且牙齿种植之后更加坚固耐用,无需再担心牙齿脱落以及假牙给身体带来一些不良的危害。了解更多种植牙,点击在线咨询,直接与专家相互交流!
一些特殊的慢性疾病患者,如糖尿病,未控制的心脏病,高血压,血液病,骨质疏松症以及口腔癌术后需要放疗的患者,也不适合马上接受种植手术。另外,有吸烟酗酒习惯的,不能保持良好口腔卫生条件的患者,也不宜进行种植修复。
中韩国际·唯美口腔牙齿种植技术推荐
亲骨超导即刻种植技术是运用3D口腔CT成像技术,根据扫描数据分析病人牙床的骨质密度、牙槽骨本身的高度、宽度等信息,运用国际先进的微创种植技术,提取牙齿缺失患者自身的牙体骨骼来定制人造骨,保持极高的生物活性,避免了与空气接触后的活性丧失,骨粉在血液循环的作用下与牙槽骨迅速、牢固地结合,达到极佳的口腔相容性。采用微螺纹表面特殊处理的种植体,最大限度增加与颌骨接触面积,使种植体在良好的成骨组织上稳固生长,实现真牙般的咀嚼感受。这样极大地提高了种植牙手术的成功率。推荐阅读:亲骨超导种植技术
中韩国际·唯美口腔牙齿种植专家推荐

武海波(Herbert)毕业于第四军医大学口腔临床系,口腔种植修复博士.2002年获第四军医大学口腔学院修复硕士学位,2006在德国科隆牙科学院研修椅旁修复系统及普士种植技术,并获科隆牙科学院种植博士学位,工作期间曾与韩国多名种植美容修复院长交流,在牙美容学专业取得重要突破.现任德国普士种植系统中国区技术总监,是国内较早采用德国普士种植系统进行缺失牙修复专家.点击在线咨询,了解牙齿种植的优惠信息!在线预约可享更多优惠!
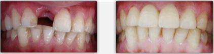
中韩国际·唯美口腔种植牙前后对比图

郑州牙科医院排名最好的医院温馨提示:老年人缺牙一定要及时选择牙齿修复,最好到正规专业的牙科医院,更多疑问,可以随时咨询在线专家!

就诊指南
预约挂号
医院专家
在线咨询