种植牙松动要怎么处理
种植牙松动要怎么处理?种植牙是现今修补牙齿缺失的最佳牙科技术,深受患者和口腔医生的认可和亲睐,种植牙修复效果非常好,可也有种植牙松动的现象发生,因此一定要到正规口腔医院治疗,那么种植牙松动要怎么处理?
根据个人情况的不同,医生采取的办法也不一样,那么种植牙松动处理的方法:
情况一:对于种植体已有明显松动,完全无法行使其支持功能者,在确实判断清楚种植体周围缺乏骨组织支持的前提下,把种植体去除。去除时不要损伤组织,种植窝内的所有结缔组织必须予以小心彻底地刮除,仔细检查确认没有纤维结缔组织残留后,彻底冲洗种植部位,使之充满血块,必要时可充填骨粉、羟基磷灰石等。切除种植颈部的牙龈组织,松弛粘骨膜瓣,在无张力的情况下严密缝合,使之完全覆盖种植区。去除种植体之后,若剩余的其他种植体足以支持义齿,可不必再次种植,否则可于一年后,待新骨已形成时,在原种植部位再重新种植。了解更多种植牙,点击在线咨询,直接与专家相互交流,详细咨询!
情况二:对于种植体周围骨有吸收,但种植体松动不明显者,可进行翻瓣刮治,去除炎性组织和其他种植体周围软组织,放入血液混合的羟基磷灰石,或其他骨代用品,然后严密缝合。
应当注意的是,不完全骨性结合的诊断不仅通过X光片检查所见种植体周围有透影区,还应结合临床检查种植体的活动度来判断。千万不能仅凭X光片种植体周围的透影区,就作出判断,特别是术后第一年,因骨重建尚未最后完成,有可能在X光片上见到种植体周围有薄层透影区,不要轻易判断取出。
中韩国际·唯美口腔牙齿种植技术推荐
中韩国际·唯美口腔独家引进的“亲骨”种植技术是采用普兰梅卡口腔全景机进行3D口腔CT成像,根据自身牙体骨骼或以自身骨组织系数来定制骨粉,比起传统的人造骨粉,更加精确无误,而且生物相容性更好、更稳定牢固、愈合更迅速。由于3D口腔CT成像的直接应用,使“亲骨”种植技术成功率大大的提高了,并象征着口腔种植领域的发展,迈出了革命性的一步。推荐阅读:亲骨超导种植技术
中韩国际·唯美口腔牙齿种植专家推荐

郑淳奎,口腔颌面外科硕士、口腔修复医学博士。精堪技术:种植牙修复。毕业于韩国首尔大学牙医学院,1995年赴瑞典皇家学院口腔医学院、美国华盛顿大学口腔医学院求学,先后获得了口腔颌面外科硕士、牙周病学硕士、口腔修复医学博士等学位。回国后将韩国整形医学与德国CEREC 3D数字齿雕系统结合,革新了口腔美容设计的传统治疗方法,获韩国齿周科学会新人学术奖及保健福利部长官奖。2000年又赴德国深造普士即刻种植牙技术,并成为第一位为德国人实施种植手术的亚洲专家。对各种种植修复技术有很深的造诣,先后在日本齿周科学会、日本齿科学会发表论文,获大韩齿周科学会新人学术奖,获韩国保健福利部长官奖,在韩国牙科界享有很高的美誉。点击在线咨询,了解牙齿种植的优惠信息!在线预约可享更多
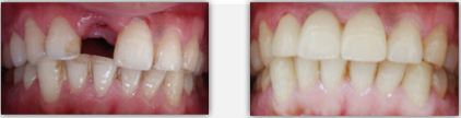
中韩国际·唯美口腔种植牙前后对比图

温馨提示:中韩国际·唯美口腔现在开通网络预约就诊功能,患者可以通过网络预约来院进行咨询,预约后,凭预约短信享受优惠,无需排队挂号,减少您的就诊时间。更多相关信息,欢迎在线咨询专家

就诊指南
预约挂号
医院专家
在线咨询