预防氟斑牙应该注意什么
氟斑牙患者呈区域性特点,和生活的水源有重要的联系。有些含氟量高的地区及氟化物污染的地区人们最容易患有氟斑牙。郑州口腔专家表示,氟斑牙的预防工作很重要,一定要严格执行下去。
氟斑牙预防:
首先,专家指出,防止工业污染在工业生产过程中所产生的有害的氟化物,必须加以无害化处理,保护环境,甚至可转害为利,造福人类。
其次,改水改灶改良水质可以采用改换水源和降低饮水含氟量的方法。改换水源是废弃原来含氟高的水源,寻找含氟量低的水源。降低饮水含氟量就是采用某些化学药品,或物理学方法,使水源中氛浓度降低。为防止煤烟熏炕食物所致的氛中毒,应改变食物的干燥方法,同时搞好炉灶改良,防止室内空气污染。推荐阅读:美国360度彩光美白
中韩国际·唯美口腔360°彩光美白技术推荐
唯美口腔美国360°彩光美白剂是最新技术产品,美白过程中无刺激、无副作用,安全呵护牙齿结构和珐琅质,经实验对比,产品优于目前市场上任何冷光牙齿美白剂,在美国,已有超过100万以上的人采用了此种美白剂进行牙齿美白,因此被公认是目前最有效及最安全的牙齿脱色美白剂。郑州唯美口腔率先引进的美国360°彩光美白仪器是将波长介于480-520纳米之间的高强度彩光,经由12000多根、总长度超过一英里的光纤传导,再通过两片经30多次镀膜处理的光学镜片上,隔除了一切有害紫外光与红外线,可在最短时间内实现牙齿美白,效果显著。点击在线咨询,了解彩光美白的各项优惠活动,在线预约可享更多优惠!
中韩国际·唯美口腔牙齿美白专家推荐

程玲,口腔执业医师,精湛技术:牙齿美容、牙齿矫正、1小时德国西诺德CAD/CAM3D齿雕全瓷修复。毕业于河南医科大学,先后在华西口腔医学院及三级甲等医院口腔中心工作,积累了丰富的临床经验。在固定修复、美齿美白方面技艺精湛有着突出优势,曾参与中韩美容整形峰会,并于核心期刊发表论文多篇。该医师技术娴熟,操作规范轻柔,行医严谨,待人真诚,已成功完成近千例的牙齿美容修复,深得患者好评。
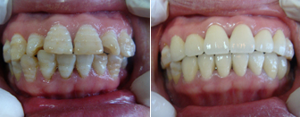
中韩国际·唯美口腔牙齿美白前后对比图

温馨提示:如果您觉得我们的文章并没有解释得很清楚,或有其他问题,您可以点击我们的在线咨询专家。中韩国际·唯美口腔会给您一个专业的分析,详细的解答,并给您一个满意的答复!

就诊指南
预约挂号
医院专家
在线咨询