做隐形矫正都有哪些好处
做隐形矫正都有哪些好处?畸形牙齿所给我们带来的痛苦让我们不得不选择牙齿矫正来解决牙齿畸形的问题,而很多朋友对于传统的牙齿矫正方法非常不喜欢。隐形矫正方法的出现满足这些朋友对于畸形牙矫正的需求。那么做隐形矫正都有哪些好处呢?
做隐形矫正都有哪些好处
中韩国际·唯美口腔矫正专家指出,传统的牙齿矫正所带的牙套都是钢圈型的牙套,影响面部的美观,很多人受到人们异样的眼光,所以更多爱美之人都选择做隐形牙齿矫正,隐形牙齿矫正在传统牙齿矫正的基础上进行改进、创新,有很多传统牙齿矫正没有的优点.
专家表示:隐形牙齿矫正是采用一种高弹性、透明度强的材料制成的卡环,在口腔中形成隐形的效果,隐形的效果让人看不出带牙套,也不会影响带美观;而且隐形牙齿矫正时间短,佩戴舒适不会影响正常的生活.推荐阅读:韩式隐形正畸
让畸形牙在无形中得到完美矫正——韩式隐形正畸技术
中韩国际·唯美口腔率先引进的韩式四维隐形正畸技术继承了传统的牙颌畸形矫治的理念,是现代口腔医学、计算机辅助四维诊断、个性化设计及数字化成型技术的完美结合,是正畸领域的新突破。韩式四维隐形正畸由权威专家坐诊,实现全程无痛无创快速疗法,专门治疗各种牙齿排列不整齐,咬合错位等牙齿形态问题,还你一口整齐、坚固耐用的健康原牙。点击在线咨询,了解牙齿矫正的优惠信息!在线预约可享更多优惠!
中韩国际·唯美口腔牙齿矫正专家推荐

李玉如,口腔正畸科。副教授,副主任医师,硕士生导师,口腔医学正畸专业硕士。1991年毕业于中山医科大学口腔系,一直从事口腔正畸的临床、教学和科研工作,临床经验丰富,并注重知识的学习更新,2004年硕士学位毕业。擅长正畸科各类牙颌畸形及疑难病例的矫治,对青少年反牙合、开牙合、功能性矫治、阻生牙的导萌牵引及成年人牙颌畸形、牙周病的正畸治疗有良好的疗效。
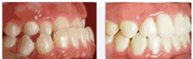
中韩国际·唯美口腔牙齿矫正前后对比图

如果您还有想要了解的情况,可以点击我们的在线咨询,中韩国际·唯美口腔的在线专家会给您最专业,最详细的解答,或是拨打我们的24小时康复热线,与专家一对一详解。

就诊指南
预约挂号
医院专家
在线咨询