成人正畸有哪些特点
成人正畸有哪些特点?随处可见的道路都有些坎坎坷坷,我们人类的牙齿也是一样,总有些牙齿拥挤不齐的,需要及时去矫治,特别是成年人,严重影响平时工作的日常交往。相对于青少年,成人牙齿已经定型,那么成人正畸有哪些特点?
专家介绍,成人正畸相较青少年儿童治疗的特点如下:
1、矫治时间较儿童要长,难度大。
2、成人往往伴有其他疾病,对口腔健康要求高。
3、成人由于工作等原因,对美观要求高。有时需要使用透明矫治器或舌侧矫治器。
4、成人治疗后复发的趋势较儿童更大,或需长时间保持。了解更多牙齿矫正,点击在线咨询,直接与专家相互咨询!
5、治疗过程中不适症状或更明显。
中韩国际·唯美口腔牙齿矫正技术推荐
中韩国际·唯美口腔率先引进的韩式四维隐形正畸技术继承了传统的牙颌畸形矫治的理念,是现代口腔医学、计算机辅助四维诊断、个性化设计及数字化成型技术的完美结合,是正畸领域的新突破。韩式四维隐形正畸由权威专家坐诊,实现全程无痛无创快速疗法,专门治疗各种牙齿排列不整齐,咬合错位等牙齿形态问题,还你一口整齐、坚固耐用的健康原牙。推荐阅读:韩式隐形正畸
中韩国际·唯美口腔牙齿矫正专家推荐

李玉如,口腔正畸科。副教授,副主任医师,硕士生导师,口腔医学正畸专业硕士。1991年毕业于中山医科大学口腔系,一直从事口腔正畸的临床、教学和科研工作,临床经验丰富,并注重知识的学习更新,2004年硕士学位毕业。擅长正畸科各类牙颌畸形及疑难病例的矫治,对青少年反牙合、开牙合、功能性矫治、阻生牙的导萌牵引及成年人牙颌畸形、牙周病的正畸治疗有良好的疗效。点击在线咨询,了解牙齿矫正的优惠信息!在线预约可享更多优惠!
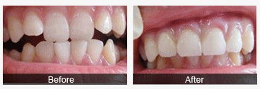
中韩国际·唯美口腔牙齿矫正前后对比图

温馨提示:.以上是介绍了成人牙齿矫正的问题,希望对大家有所帮助。如果还想了解更多有关牙齿矫正的信息,请点击咨询我们中韩国际·唯美口腔医院的在线专家,我们将会竭诚为您服务。谢谢您对我们的支持与信任,在此衷心地祝您有一个健康的身体。

就诊指南
预约挂号
医院专家
在线咨询