牙齿深覆合的表现有哪些
甜美的微笑下那一口整齐洁白的牙齿,往往有一种眼前一亮的感觉。但是很多人苦于对牙齿深覆合的讳莫如深,不愿意对人展现自己的笑容,长此以往,对一个人的身心健康造成不小的损害。医学的发展已经有办法解决牙齿深覆合的难题,通过牙齿矫正修复,那么牙齿深覆合的表现有哪些?
牙齿深覆合是比较常见的一种牙齿畸形情况,前牙盖减少,有时可为0-1mm,伴前牙拥挤,内倾,呈严重闭锁合,可咬伤上前牙舌侧或下前牙唇侧龈组织,后牙为中性合或远中合,下牙弓矢状曲线增大,有时上牙弓补偿曲线是反向弧形。深覆牙合上前牙纵轴位置有三种不同表现。具体介绍如下:
1、上前牙纵轴正常多见于替牙期和恒牙早期。面部一般无畸形,严重深覆合时,1/3稍显短,可见下切牙轻度拥挤,纵轴呈垂直或内倾。
2、上前牙前倾增加了覆盖。想要更多了解牙齿深覆合,点击在线咨询,与专家直接交谈,预约还能享受更多优惠!
3、上前牙垂直或内倾前牙盖减少,有时可为0-1mm,伴前牙拥挤,内倾,呈严重闭锁合,可咬伤上前牙舌侧或下前牙唇侧龈组织,后牙为中性合或远中合,下牙弓矢状曲线增大,有时上牙弓补偿曲线是反向弧形。面部外形尚好,一般呈方面形,面下1/3高度降低,下颌角明显突出:下颌平面角为低角型。
中韩国际·唯美口腔牙齿矫正技术推荐
韩式隐形正畸运用四维矫正先进技术,不仅能做到立体化矫正,还能随时间的变化与矫正角度完美结合,不断改善脸型。相对于传统矫正,韩式隐形正畸更加轻松舒适,避免使用矫治器出现的异物感和其他不适。推荐阅读:韩式隐形正畸
中韩国际·唯美口腔牙齿矫正专家推荐

李玉如,口腔正畸科。副教授,副主任医师,硕士生导师,口腔医学正畸专业硕士。1991年毕业于中山医科大学口腔系,一直从事口腔正畸的临床、教学和科研工作,临床经验丰富,并注重知识的学习更新,2004年硕士学位毕业。擅长正畸科各类牙颌畸形及疑难病例的矫治,对青少年反牙合、开牙合、功能性矫治、阻生牙的导萌牵引及成年人牙颌畸形、牙周病的正畸治疗有良好的疗效。点击在线咨询,了解牙齿矫正的优惠信息!在线预约可享更多优惠!
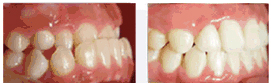
中韩国际·唯美口腔牙齿矫正前后对比图

温馨提示:以上就是牙齿深覆合不同情况的治疗方法,大家最好先去正规的口腔医院让医生给自己的牙齿做个全面检查,然后选择适合自己的最佳治疗方案。如果您需要预约或者更进一步的了解,可以点击我们中韩国际·唯美口腔医院的在线咨询或拨打全国咨询热线:0371-60318899,我们将竭诚为您服务。

就诊指南
预约挂号
医院专家
在线咨询